中文名稱: 兔抗METTL7A多克隆抗體
英文名稱: Anti-METTL7A rabbit polyclonal antibody
別 名: AAM-B
儲 存: 冷凍(-20℃)
相關類別: 一抗
抗 原: METTL7A
宿 主: Rabbit
反應種屬: Human
標 記 物: Unconjugate
克隆類型: rabbit polyclonal
|
Background: |
METTL7A (methyltransferase like 7A), also known as AAM-B, is a 244 amino acid protein that is thought to function as a methyltransferase and is encoded by a gene which maps to chromosome 12. Encoding over 1,100 genes, chromosome 12 comprises nearly 4.5% of the human genome and is associated with a number of skeletal deformaties, including hypochondrogenesis, achondrogenesis and Kniest dysplasia. Chromosome 12 is also home to both a homeobox gene cluster which encodes crucial transcription factors for morphogenesis, and a natural killer complex gene cluster encoding C-type lectin proteins which mediate the NK cell response to MHC I interaction. Additionally, Trisomy 12p (three copies of the p arm of chromosome 12) leads to facial developmental defects, seizure disorders and a host of other symptoms varying in severity depending on the extent of mosaicism. |
|
Applications: |
ELISA, IHC |
|
Name of antibody: |
METTL7A |
|
Immunogen: |
Fusion protein of human METTL7A |
|
Full name: |
methyltransferase like 7A |
|
Synonyms: |
AAM-B |
|
SwissProt: |
Q9H8H3 |
|
ELISA Recommended dilution: |
5000-10000 |
|
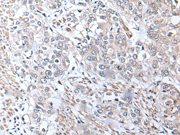
IHC positive control: |
Human brain and human prostate cancer |
|
IHC Recommend dilution: |
30-150 |


購物車
幫助
021-54845833/15800441009
