中文名稱: 兔抗TXNDC12多克隆抗體
|
Background: |
This gene encodes a member of the thioredoxin superfamily. Members of this family are characterized by a conserved active motif called the thioredoxin fold that catalyzes disulfide bond formation and isomerization. This protein localizes to the endoplasmic reticulum and has a single atypical active motif. The encoded protein is mainly involved in catalyzing native disulfide bond formation and displays activity similar to protein-disulfide isomerases. This protein may play a role in defense against endoplasmic reticulum stress. Alternate splicing results in both coding and non-coding variants. |
|
Applications: |
ELISA, IHC |
|
Name of antibody: |
TXNDC12 |
|
Immunogen: |
Fusion protein of human TXNDC12 |
|
Full name: |
thioredoxin domain containing 12 |
|
Synonyms: |
AG1; AGR1; ERP16; ERP18; ERP19; TLP19; hAG-1; PDIA16; hTLP19 |
|
SwissProt: |
O95881 |
|
ELISA Recommended dilution: |
5000-10000 |
|
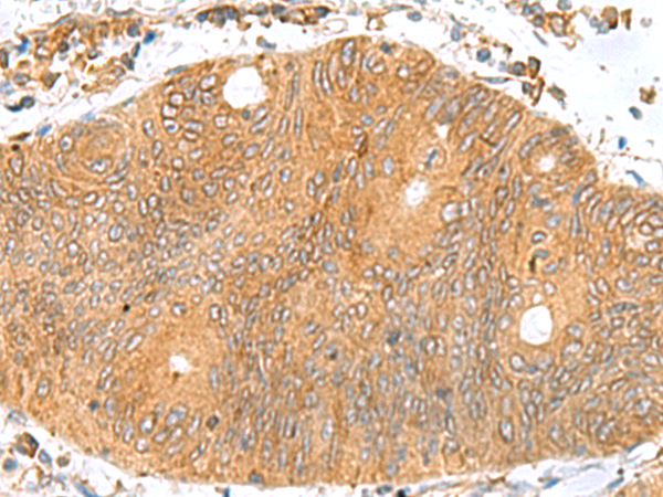
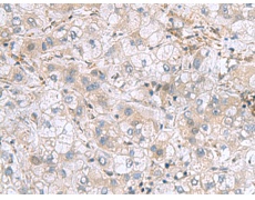
IHC positive control: |
Human colorectal cancer and Human liver cancer |
|
IHC Recommend dilution: |
50-200 |


購物車
幫助
021-54845833/15800441009
