|
Background: |
This gene encodes a member of a multienzyme complex that functions in mediating the attachment of amino acids to their cognate tRNAs. The encoded protein ligates L-aspartate to tRNA(Asp). Mutations in this gene have been found in patients showing hypomyelination with brainstem and spinal cord involvement and leg spasticity. Alternative splicing results in multiple transcript variants. [provided by RefSeq, Jun 2014] |
|
Applications: |
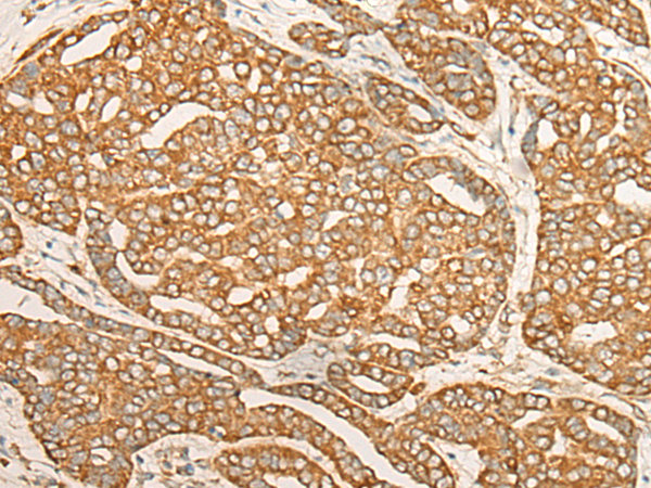
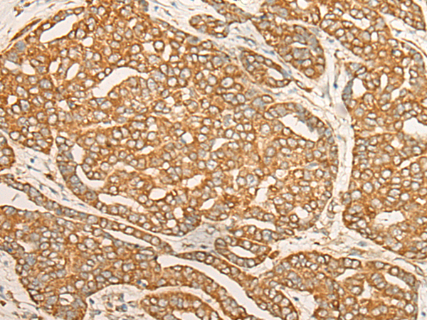
ELISA, IHC |
|
Name of antibody: |
DARS1 |
|
Immunogen: |
Fusion protein of human DARS1 |
|
Full name: |
aspartyl-tRNA synthetase 1 |
|
Synonyms: |
DARS; HBSL; aspRS |
|
SwissProt: |
P14868 |
|
IHC positive control: |
Human liver cancer |
|
IHC Recommend dilution: |
30-150 |
購(gòu)物車
幫助
021-54845833/15800441009
