|
Background: |
This gene is a member of the myeloid/lymphoid or mixed-lineage leukemia (MLL) family and encodes a nuclear protein with an AT hook DNA-binding domain, a DHHC-type zinc finger, six PHD-type zinc fingers, a SET domain, a post-SET domain and a RING-type zinc finger. This protein is a member of the ASC-2/NCOA6 complex (ASCOM), which possesses histone methylation activity and is involved in transcriptional coactivation. |
|
Applications: |
ELISA, IHC |
|
Name of antibody: |
KMT2C |
|
Immunogen: |
Synthetic peptide of human KMT2C |
|
Full name: |
lysine methyltransferase 2C |
|
Synonyms: |
HALR; MLL3 |
|
SwissProt: |
Q8NEZ4 |
|
ELISA Recommended dilution: |
5000-10000 |
|
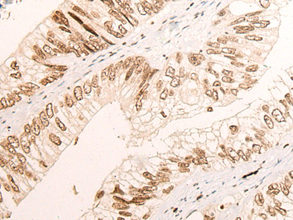
IHC positive control: |
Human colorectal cancer |
|
IHC Recommend dilution: |
20-100 |

購物車
幫助
021-54845833/15800441009
