中文名稱:兔抗CXCR2(Phospho-Ser347) 多克隆抗體
|
Background: |
The protein encoded by this gene is a member of the G-protein-coupled receptor family. This protein is a receptor for interleukin 8 (IL8). It binds to IL8 with high affinity, and transduces the signal through a G-protein activated second messenger system. This receptor also binds to chemokine (C-X-C motif) ligand 1 (CXCL1/MGSA), a protein with melanoma growth stimulating activity, and has been shown to be a major component required for serum-dependent melanoma cell growth. |
|
Applications: |
WB |
|
Name of antibody: |
CXCR2(Phospho-Ser347) |
|
Immunogen: |
Peptide sequence around phosphorylation site of Serine 347 (R-P-S(p)-F-V) derived from Human IL-8R beta/CDw128 beta. |
|
Full name: |
chemokine (C-X-C motif) receptor 2 |
|
Synonyms: |
CD182; IL8R2; IL8RA; IL8RB; CMKAR2; CDw128b |
|
SwissProt: |
P25025 |
|
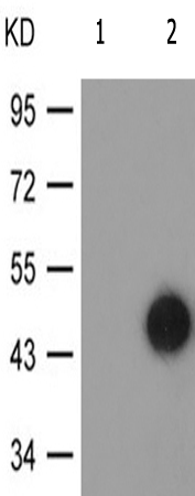
WB Predicted band size: |
41 kDa |
|
WB Positive control: |
NIH/3T3 cells lysates treated with UV |
|
WB Recommended dilution: |
500-1000 |
購物車
幫助
021-54845833/15800441009
