中文名稱: 兔抗CUBN多克隆抗體
|
Background: |
Cubilin (CUBN) acts as a receptor for intrinsic factor-vitamin B12 complexes. The role of receptor is supported by the presence of 27 CUB domains. Cubulin is located within the epithelium of intestine and kidney. Mutations in CUBN may play a role in autosomal recessive megaloblastic anemia. |
|
Applications: |
ELISA, WB, IHC |
|
Name of antibody: |
CUBN |
|
Immunogen: |
Synthetic peptide of human CUBN |
|
Full name: |
cubilin (intrinsic factor-cobalamin receptor) |
|
Synonyms: |
IFCR; MGA1; gp280 |
|
SwissProt: |
O60494 |
|
ELISA Recommended dilution: |
5000-10000 |
|
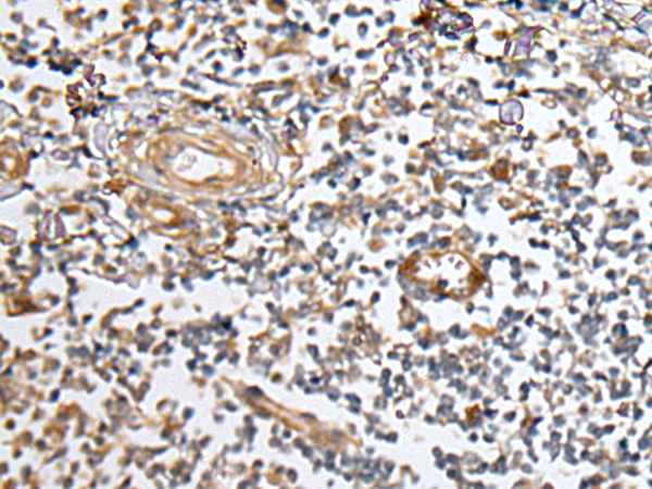
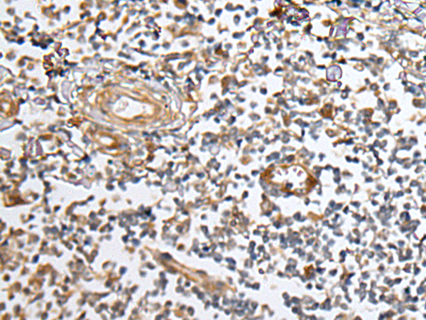
IHC positive control: |
Human tonsil |
|
IHC Recommend dilution: |
30-150 |
|
WB Predicted band size: |
399 kDa |
|
WB Positive control: |
Human kidney tissue |
|
WB Recommended dilution: |
200-1000 |

購物車
幫助
021-54845833/15800441009
