|
Background: |
Cortactin is overexpressed in breast cancer and squamous cell carcinomas of the head and neck. The encoded protein is localized in the cytoplasm and in areas of the cell-substratum contacts. This gene has two roles: (1) regulating the interactions between components of adherens-type junctions and (2) organizing the cytoskeleton and cell adhesion structures of epithelia and carcinoma cells. During apoptosis, the encoded protein is degraded in a caspase-dependent manner. The aberrant regulation of this gene contributes to tumor cell invasion and metastasis. Two splice variants that encode different isoforms have been identified for this gene. |
|
Applications: |
WB, IHC |
|
Name of antibody: |
CTTN |
|
Immunogen: |
Synthetic peptide of human CTTN (Ab-466) |
|
Full name: |
cortactin |
|
Synonyms: |
Amplaxin; CTTN; EMS1; SRC8 |
|
SwissProt: |
Q14247 |
|
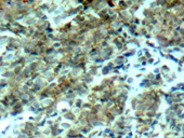
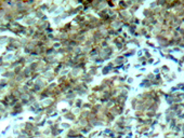
IHC positive control: |
Human breast carcinoma |
|
IHC Recommend dilution: |
50-100 |
|
WB Predicted band size: |
85 kDa |
|
WB Positive control: |
3T3 and C2C12 cells |
|
WB Recommended dilution: |
500-1000 |

購(gòu)物車
幫助
021-54845833/15800441009
