中文名稱: 兔抗CRKL多克隆抗體
|
Background: |
This gene encodes a protein kinase containing SH2 and SH3 (src homology) domains which has been shown to activate the RAS and JUN kinase signaling pathways and transform fibroblasts in a RAS-dependent fashion. It is a substrate of the BCR-ABL tyrosine kinase, plays a role in fibroblast transformation by BCR-ABL, and may be oncogenic. |
|
Applications: |
ELISA, WB, IHC |
|
Name of antibody: |
CRKL |
|
Immunogen: |
Synthetic peptide of human CRKL |
|
Full name: |
v-crk avian sarcoma virus CT10 oncogene homolog-like |
|
SwissProt: |
P46109 |
|
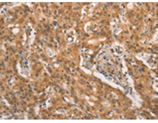
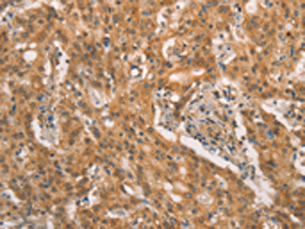
IHC positive control: |
Human gastric cancer and human thyroid cancer |
|
IHC Recommend dilution: |
25-100 |
|
WB Predicted band size: |
34 kDa |
|
WB Positive control: |
Lovo, A431, A549, hela, hepG2 and Raji cells, mouse brain tissue |
|
WB Recommended dilution: |
500-2000 |

購(gòu)物車(chē)
幫助
021-54845833/15800441009
