|
Background: |
The protein encoded by this gene is one of the eight subunits of COP9 signalosome, a highly conserved protein complex that functions as an important regulator in multiple signaling pathways. The structure and function of COP9 signalosome is similar to that of the 19S regulatory particle of 26S proteasome. COP9 signalosome has been shown to interact with SCF-type E3 ubiquitin ligases and act as a positive regulator of E3 ubiquitin ligases. Alternatively spliced transcript variants encoding distinct isoforms have been observed. |
|
Applications: |
ELISA, WB, IHC |
|
Name of antibody: |
COPS8 |
|
Immunogen: |
Fusion protein of human COPS8 |
|
Full name: |
COP9 signalosome subunit 8 |
|
Synonyms: |
COP9; CSN8; SGN8 |
|
SwissProt: |
Q99627 |
|
ELISA Recommended dilution: |
5000-10000 |
|
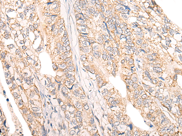
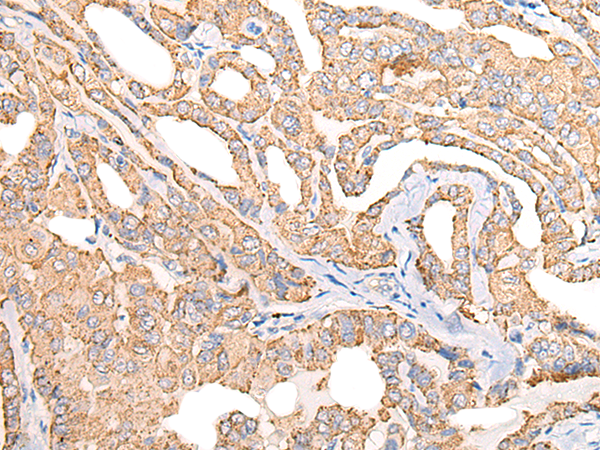
IHC positive control: |
Human liver cancer; Human esophagus cancer |
|
IHC Recommend dilution: |
25-100 |
|
WB Predicted band size: |
23 kDa |
|
WB Positive control: |
Human kidney tissue and Human fetal liver tissue, Hela cell lysates |
|
WB Recommended dilution: |
200-1000 |


購(gòu)物車
幫助
021-54845833/15800441009
