中文名稱:兔抗AGRN多克隆抗體
|
Background: |
This gene encodes one of several proteins that are critical in the development of the neuromuscular junction (NMJ), as identified in mouse knock-out studies. The encoded protein contains several laminin G, Kazal type serine protease inhibitor, and epidermal growth factor domains. Additional post-translational modifications occur to add glycosaminoglycans and disulfide bonds. In one family with congenital myasthenic syndrome affecting limb-girdle muscles, a mutation in this gene was found. |
|
Applications: |
ELISA, IHC |
|
Name of antibody: |
AGRN |
|
Immunogen: |
Synthetic peptide of human AGRN |
|
Full name: |
agrin |
|
SwissProt: |
O00468 |
|
ELISA Recommended dilution: |
3000-10000 |
|
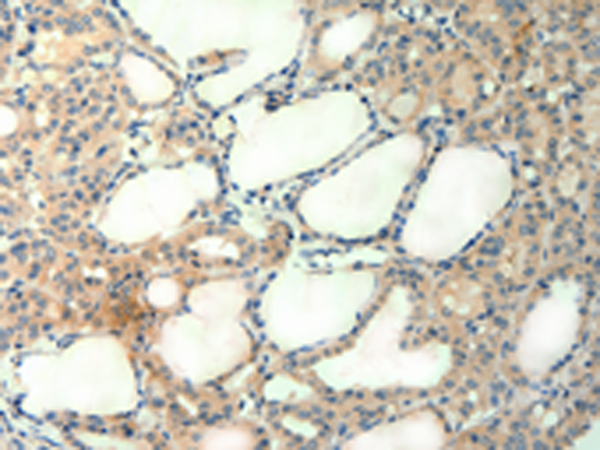
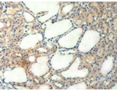
IHC positive control: |
Human thyroid cancer |
|
IHC Recommend dilution: |
50-200 |
購(gòu)物車
幫助
021-54845833/15800441009
