中文名稱: 兔抗GCH1多克隆抗體
抗 原: GCH1
|
Background: |
This gene encodes a member of the GTP cyclohydrolase family. The encoded protein is the first and rate-limiting enzyme in tetrahydrobiopterin (BH4) biosynthesis, catalyzing the conversion of GTP into 7,8-dihydroneopterin triphosphate. BH4 is an essential cofactor required by aromatic amino acid hydroxylases as well as nitric oxide synthases. Mutations in this gene are associated with malignant hyperphenylalaninemia and dopa-responsive dystonia. Several alternatively spliced transcript variants encoding different isoforms have been described; however, not all variants give rise to a functional enzyme. |
|
Applications: |
ELISA, WB, IHC |
|
Name of antibody: |
GCH1 |
|
Immunogen: |
Synthetic peptide of human GCH1 |
|
Full name: |
GTP cyclohydrolase 1 |
|
Synonyms: |
GCH, DYT5, DYT14, DYT5a, GTPCH1, HPABH4B, GTP-CH-1 |
|
SwissProt: |
P30793 |
|
ELISA Recommended dilution: |
1000-5000 |
|
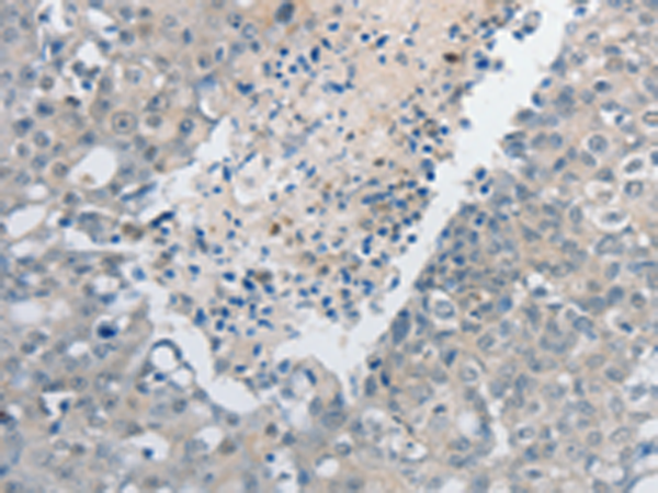
IHC positive control: |
Human breast cancer |
|
IHC Recommend dilution: |
5-20 |
|
WB Predicted band size: |
28 kDa |
|
WB Positive control: |
Human fetal liver tissue |
|
WB Recommended dilution: |
500-2000 |


購物車
幫助
021-54845833/15800441009
