|
Background: |
This gene encodes a hematopoietic-specific transcription factor that induces high-level expression of adult beta-globin and other erythroid genes. The zinc-finger protein binds to the DNA sequence CCACACCCT found in the beta hemoglobin promoter. Heterozygous loss-of-function mutations in this gene result in the dominant In(Lu) blood phenotype. |
|
Applications: |
ELISA, IHC |
|
Name of antibody: |
KLF1 |
|
Immunogen: |
Synthetic peptide of human KLF1 |
|
Full name: |
Kruppel like factor 1 |
|
Synonyms: |
EKLF; EKLF/KLF1 |
|
SwissProt: |
Q13351 |
|
ELISA Recommended dilution: |
5000-10000 |
|
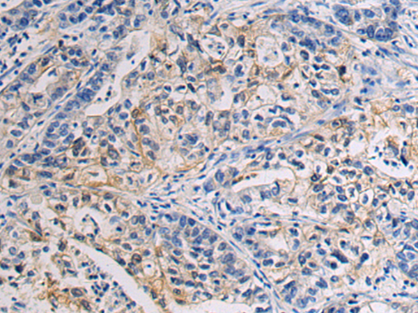
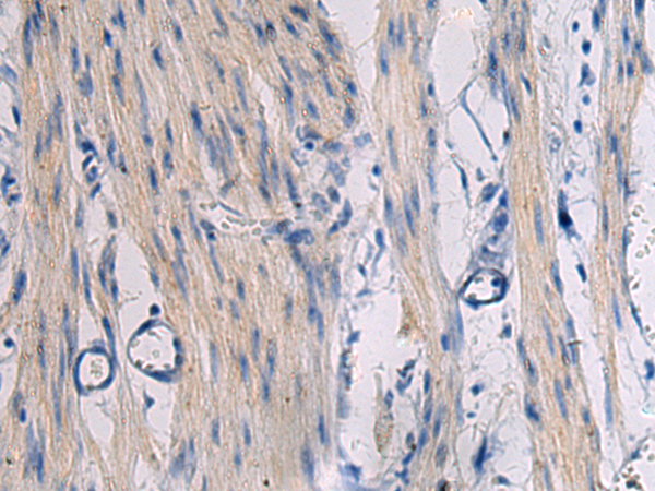
IHC positive control: |
Human esophagus cancer and Human gastric cancer |
|
IHC Recommend dilution: |
25-50 |


購(gòu)物車
幫助
021-54845833/15800441009
