|
Background: |
Microtubules, polymers of alpha and beta tubulin subunits, form the mitotic spindle of a dividing cell and help to organize membranous organelles during interphase. Katanin is a heterodimer that consists of a 60 kDa ATPase (p60 subunit A 1) and an 80 kDa accessory protein (p80 subunit B 1). The p60 subunit acts to sever and disassemble microtubules, while the p80 subunit targets the enzyme to the centrosome. This gene encodes the p80 subunit. This protein is a member of the AAA family of ATPases. Multiple alternatively spliced variants, encoding the same protein, have been identified. [provided by RefSeq, Feb 2011] |
|
Applications: |
ELISA, IHC |
|
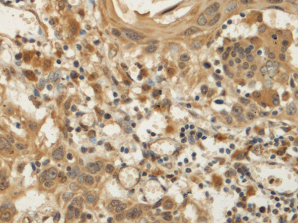
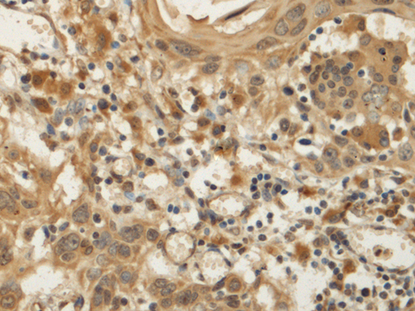
Name of antibody: |
KATNA1 |
|
Immunogen: |
Fusion protein of human KATNA1 |
|
Full name: |
katanin catalytic subunit A1 |
|
SwissProt: |
O75449 |
|
ELISA Recommended dilution: |
5000-10000 |
|
IHC positive control: |
Human tonsil and Human esophagus cancer |
|
IHC Recommend dilution: |
200-400 |

購物車
幫助
021-54845833/15800441009
