|
Background: |
This gene encodes a subunit of the interleukin 6 (IL6) receptor complex. Interleukin 6 is a potent pleiotropic cytokine that regulates cell growth and differentiation and plays an important role in the immune response. The IL6 receptor is a protein complex consisting of this protein and interleukin 6 signal transducer (IL6ST/GP130/IL6-beta), a receptor subunit also shared by many other cytokines. Dysregulated production of IL6 and this receptor are implicated in the pathogenesis of many diseases, such as multiple myeloma, autoimmune diseases and prostate cancer. Alternatively spliced transcript variants encoding distinct isoforms have been reported. A pseudogene of this gene is found on chromosome 9. |
|
Applications: |
ELISA, IHC |
|
Name of antibody: |
IL6R |
|
Immunogen: |
Synthetic peptide of human IL6R |
|
Full name: |
interleukin 6 receptor |
|
Synonyms: |
IL6Q; gp80; CD126; IL6RA; IL6RQ; IL-6RA; IL-6R-1 |
|
SwissProt: |
P08887 |
|
ELISA Recommended dilution: |
2000-5000 |
|
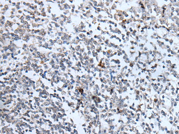
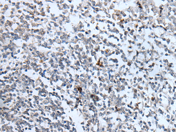
IHC positive control: |
Human tonsil |
|
IHC Recommend dilution: |
20-100 |

購物車
幫助
021-54845833/15800441009
