英文名稱: Anti-HDAC1 rabbit polyclonal antibody
抗 原: HDAC1
儲 存: 冷凍(-20℃)
宿 主: Rabbit
相關(guān)類別: 一抗
標 記 物: Unconjugate
克隆類型: rabbit polyclonal
|
Background: |
Histone acetylation and deacetylation, catalyzed by multisubunit complexes, play a key role in the regulation of eukaryotic gene expression. The protein encoded by this gene belongs to the histone deacetylase/acuc/apha family and is a component of the histone deacetylase complex. It also interacts with retinoblastoma tumor-suppressor protein and this complex is a key element in the control of cell proliferation and differentiation. Together with metastasis-associated protein-2, it deacetylates p53 and modulates its effect on cell growth and apoptosis. |
|
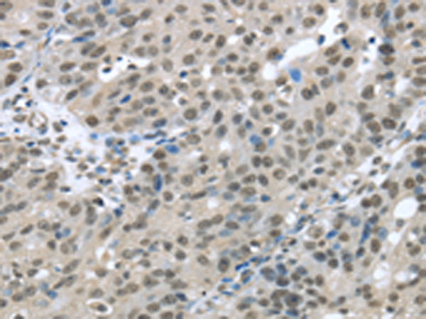
Applications: |
ELISA, IHC |
|
Name of antibody: |
HDAC1 |
|
Immunogen: |
Fusion protein of human HDAC1 |
|
Full name: |
histone deacetylase 1 |
|
Synonyms: |
HD1; RPD3; GON-10; RPD3L1 |
|
SwissProt: |
Q13547 |
|
ELISA Recommended dilution: |
2000-5000 |
|
IHC positive control: |
Human breast cancer and human thyroid cancer |
|
IHC Recommend dilution: |
25-100 |


購物車
幫助
021-54845833/15800441009
