中文名稱:小鼠抗EGFR單克隆抗體
|
Background: |
The protein encoded by this gene is a transmembrane glycoprotein that is a member of the protein kinase superfamily. This protein is a receptor for members of the epidermal growth factor family. EGFR is a cell surface protein that binds to epidermal growth factor. Binding of the protein to a ligand induces receptor dimerization and tyrosine autophosphorylation and leads to cell proliferation. Mutations in this gene are associated with lung cancer. |
|
Applications: |
WB, IHC |
|
Name of antibody: |
EGFR |
|
Immunogen: |
Fusion protein of human EGFR |
|
Full name: |
epidermal growth factor receptor |
|
Synonyms: |
ERBB; HER1; mENA; ERBB1; PIG61; NISBD2 |
|
SwissProt: |
P00533 |
|
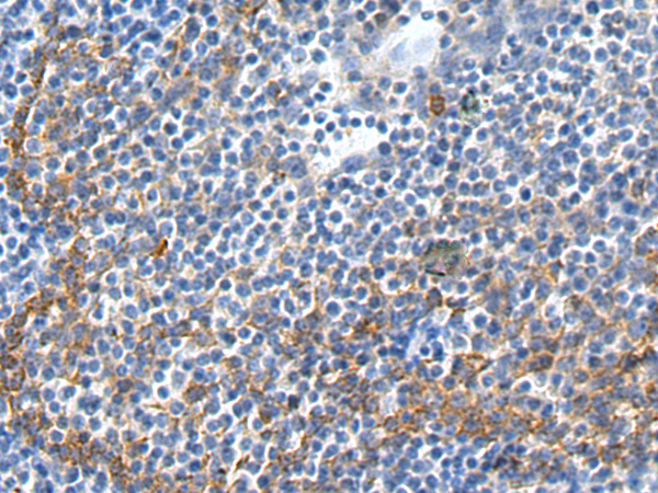
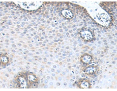
IHC positive control: |
Human tonsil and Human liver cancer; Human esophagus cancer |
|
IHC Recommend dilution: |
100-500 |
|
WB Predicted band size: |
134 kDa |
|
WB Positive control: |
SKOV3 and PC3 cell lysates |
|
WB Recommended dilution: |
1000-5000 |

購物車
幫助
021-54845833/15800441009
