中文名稱: 兔抗ADAM30多克隆抗體
|
Background: |
This gene encodes a member of the ADAM (a disintegrin and metalloprotease domain) family. Members of this family are membrane-anchored proteins structurally related to snake venom disintegrins, and have been implicated in a variety of biological processes involving cell-cell and cell-matrix interactions, including fertilization, muscle development, and neurogenesis. This gene is testis-specific and contains a polymorphic region, resulting in isoforms with varying numbers of C-terminal repeats. |
|
Applications: |
ELISA, IHC |
|
Name of antibody: |
ADAM30 |
|
Immunogen: |
Fusion protein of human ADAM30 |
|
Full name: |
ADAM metallopeptidase domain 30 |
|
Synonyms: |
svph4 |
|
SwissProt: |
Q9UKF2 |
|
ELISA Recommended dilution: |
5000-10000 |
|
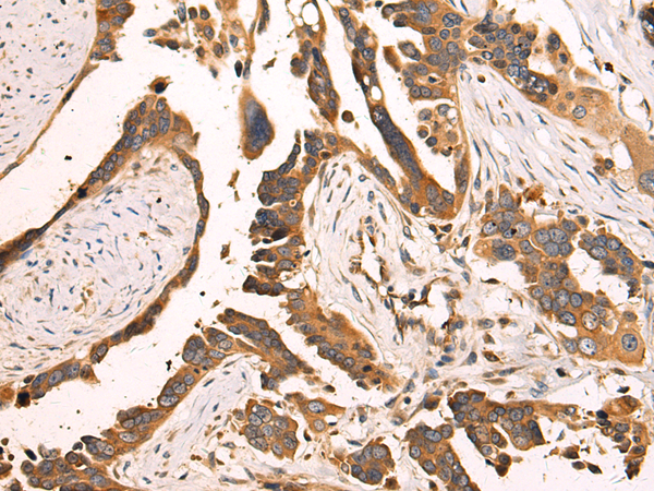
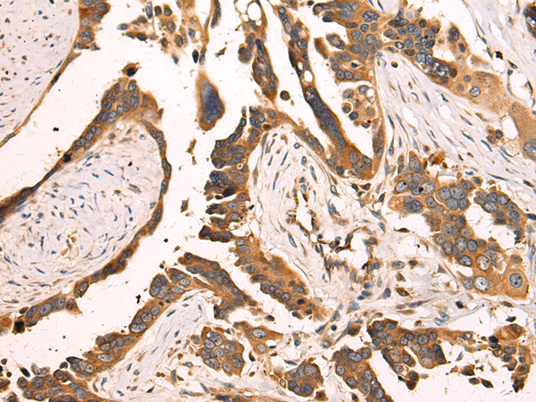
IHC positive control: |
Human colorectal cancer |
|
IHC Recommend dilution: |
100-200 |
購(gòu)物車
幫助
021-54845833/15800441009
