中文名稱:兔抗ZUP1多克隆抗體
|
Background: |
This gene encodes a protein containing zinc finger motifs and a cysteine peptidase domain. The encoded protein functions as a K63-specific de-ubiquitinating enzyme that specifically cleaves long K63-linked polyubiquitin chains in the middle of a chain (i.e. "endo cleavage) rather than by removing the terminal ubiquitin from a chain. This enzyme is thought to be involved in the regulation of DNA repair by cleaving K63-linked ubiquitin chains at repair foci. This protein is related to proteases for the ubiquitin-like modifiers Ufm1 (ubiquitin fold modifier 1) and Atg8/Gabarapl2, but does not have any activity on these modifiers. [provided by RefSeq, Mar 2018] |
|
Applications: |
ELISA, IHC |
|
Name of antibody: |
ZUP1 |
|
Immunogen: |
Fusion protein of human ZUP1 |
|
Full name: |
zinc finger containing ubiquitin peptidase 1 |
|
Synonyms: |
DUB; ZUFSP; C6orf113 |
|
SwissProt: |
Q96AP4 |
|
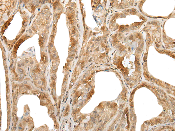
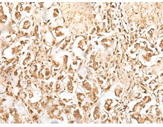
IHC positive control: |
Human esophagus cancer and Human lung cancer |
|
IHC Recommend dilution: |
25-100 |


購物車
幫助
021-54845833/15800441009
