中文名稱:兔抗ZNF638多克隆抗體
|
Background: |
The protein encoded by this gene is a nucleoplasmic protein. It binds cytidine-rich sequences in double-stranded DNA. This protein has three types of domains: MH1, MH2 (repeated three times) and MH3. It is associated with packaging, transferring, or processing transcripts. Multiple alternatively spliced transcript variants have been found for this gene, but the biological validity of some variants has not been determined. |
|
Applications: |
WB, IHC |
|
Name of antibody: |
ZNF638 |
|
Immunogen: |
Synthesized peptide derived from internal of human ZNF638. |
|
Full name: |
zinc finger protein 638 |
|
Synonyms: |
ZFML; NP220; Zfp638 |
|
SwissProt: |
Q14966 |
|
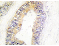
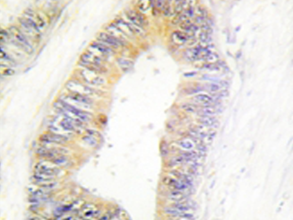
IHC positive control: |
Human colon carcinoma tissue |
|
IHC Recommend dilution: |
50-100 |
|
WB Predicted band size: |
221 kDa |
|
WB Positive control: |
HepG2 cells treated with serum (20%, 15mins) lysate |
|
WB Recommended dilution: |
500-3000 |

購物車
幫助
021-54845833/15800441009
