中文名稱:兔抗ZNF354A多克隆抗體
|
Background: |
ZNF354A, also called EZNF, KID-1 or TCF17, belongs to the Krüppel C2H2-type zinc-finger family of proteins that contain KRAB domains and act as transcriptional regulators. Expressed primarily in the adult kidney, ZNF354A is a transcriptional repressor that plays a role in late renal development and is suppressed after renal ischemia. The N-terminus of ZNF354A contains the KRAB domain which confers transcriptional repressor activity, while the C-terminus contains multiple Cys2His2-zinc fingers. ZNF354A is located in the nucleolus and is thought to specifically influence development of the proximal tubule by shutting off dispensable or inhibitory genes. Reduced ZNF354A expression prevents proper cell differentiation and may, therefore, be implicated in renal carcinoma. |
|
Applications: |
ELISA, IHC |
|
Name of antibody: |
ZNF354A |
|
Immunogen: |
Fusion protein of human ZNF354A |
|
Full name: |
zinc finger protein 354A |
|
Synonyms: |
EZNF; HKL1; KID1; KID-1; TCF17; HEL104 |
|
SwissProt: |
O60765 |
|
ELISA Recommended dilution: |
5000-10000 |
|
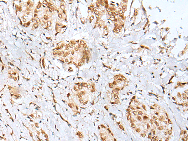
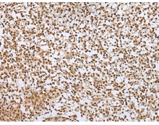
IHC positive control: |
Human tonsil and human breast cancer |
|
IHC Recommend dilution: |
30-150 |

購物車
幫助
021-54845833/15800441009
