中文名稱:兔抗BCAS4多克隆抗體
|
Background: |
The gene encoding BCAS4 (Breast carcinoma-amplified sequence 4), a 211 amino acid protein, is found in a region on chromosome 20 that is frequently amplified in human breast cancer. This 20q13 locus amplification is found in 12%–39% of primary breast tumors, which correlates with a 17q23 locus amplification that is found in 20% of primary breast tumors. The amplification and translocation between the BCAS4 gene and the BCAS3 gene, with a 17q23 locus, results in a fusion transcript that is overexpressed in MCF-7 cells. Also, deletion of chromosomal region 20q13.13-q13.2 and resultant deletion of BCAS4, as well as three other genes, is the cause of Okihiro syndrome, a disease characterized by ocular and upper limb anomalies. BCAS4 is normally expressed in thymus, kidney, spleen, placenta and brain. There are three isoforms of BCAS4 which are produced as a result of alternative splicing events. |
|
Applications: |
ELISA, WB, IHC |
|
Name of antibody: |
BCAS4 |
|
Immunogen: |
Synthetic peptide of human BCAS4 |
|
Full name: |
breast carcinoma amplified sequence 4 |
|
Synonyms: |
CNOL |
|
SwissProt: |
Q8TDM0 |
|
ELISA Recommended dilution: |
5000-10000 |
|
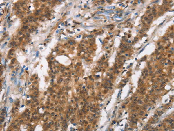
IHC positive control: |
Human gastic cancer and Human thyroid cancer |
|
IHC Recommend dilution: |
50-200 |
|
WB Predicted band size: |
23 kDa |
|
WB Positive control: |
K562 and Hela cell lysates,Human left kidney tissue and fetal intestines tissue lysates |
|
WB Recommended dilution: |
500-2000 |


購物車
幫助
021-54845833/15800441009
