Background:
Aminoacyl-tRNA synthetases catalyze the aminoacylation of tRNA by their cognate amino acid. Because of their central role in linking amino acids with nucleotide triplets contained in tRNAs, aminoacyl-tRNA synthetases are thought to be among the first proteins that appeared in evolution. Two forms of tryptophanyl-tRNA synthetase exist, a cytoplasmic form, named WARS, and a mitochondrial form, named WARS2. This gene encodes the mitochondrial tryptophanyl-tRNA synthetase. Two alternative transcripts encoding different isoforms have been described.
Applications:
ELISA, WB, IHC
Name of antibody:
WARS2
Immunogen:
Fusion protein of human WARS2
Full name:
tryptophanyl tRNA synthetase 2, mitochondrial
Synonyms:
TrpRS
SwissProt:
Q9UGM6
ELISA Recommended dilution:
5000-10000
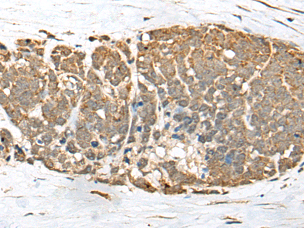
IHC positive control:
Human thyroid cancer
IHC Recommend dilution:
25-100
WB Predicted band size:
40 kDa
WB Positive control:
MCF-7 and Hela cell lysates
WB Recommended dilution:
200-1000


購物車
幫助
021-54845833/15800441009
