|
Background: |
The protein encoded by this gene is involved in the conversion of tyrosine to dopamine. It is the rate-limiting enzyme in the synthesis of catecholamines, hence plays a key role in the physiology of adrenergic neurons. Mutations in this gene have been associated with autosomal recessive Segawa syndrome. Alternatively spliced transcript variants encoding different isoforms have been noted for this gene. |
|
Applications: |
ELISA, IHC |
|
Name of antibody: |
TH |
|
Immunogen: |
Synthetic peptide of human TH |
|
Full name: |
tyrosine hydroxylase |
|
Synonyms: |
TYH; DYT14; DYT5b |
|
SwissProt: |
P07101 |
|
ELISA Recommended dilution: |
5000-10000 |
|
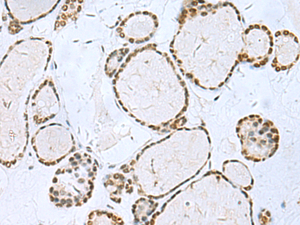
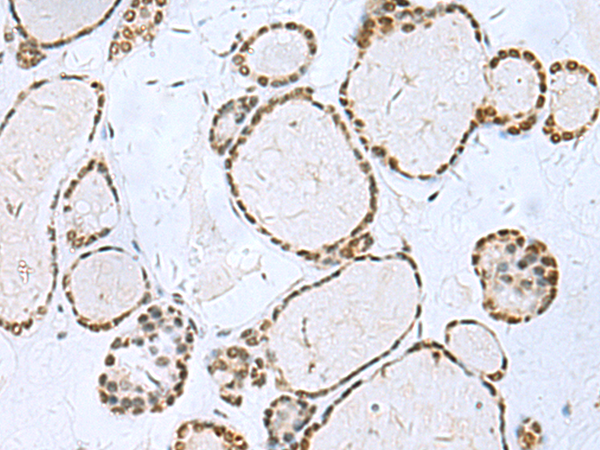
IHC positive control: |
Human thyroid cancer |
|
IHC Recommend dilution: |
50-100 |
購(gòu)物車(chē)
幫助
021-54845833/15800441009
