|
Background: |
Plays a role in the translocation of transport vesicles from the cytoplasm to the plasma membrane. Inhibits the translocation of SLC2A4 from intracellular vesicles to the plasma membrane by STX4A binding and preventing the interaction between STX4A and VAMP2. Stimulation with insulin disrupts the interaction with STX4A, leading to increased levels of SLC2A4 at the plasma membrane. May also play a role in the regulation of insulin release by pancreatic beta cells after stimulation by glucose. |
|
Applications: |
ELISA, IHC |
|
Name of antibody: |
STXBP4 |
|
Immunogen: |
Fusion protein of human STXBP4 |
|
Full name: |
syntaxin binding protein 4 |
|
Synonyms: |
Synip |
|
SwissProt: |
Q6ZWJ1 |
|
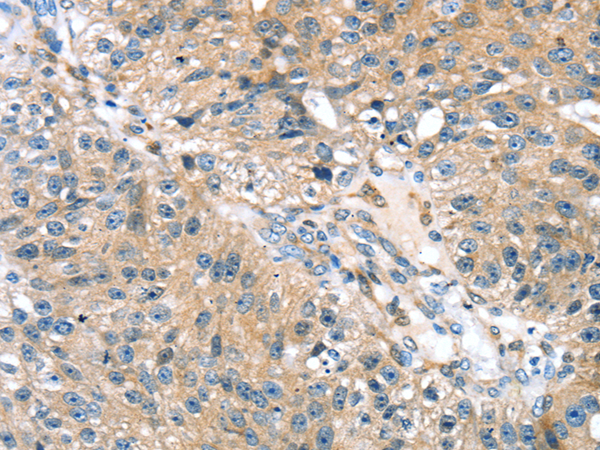
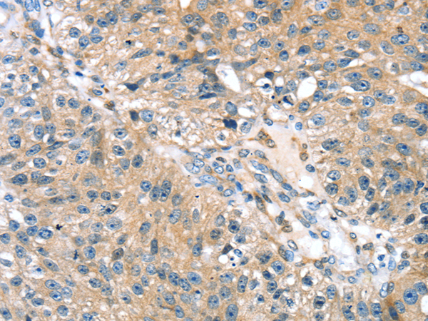
IHC positive control: |
Human breast cancer |
|
IHC Recommend dilution: |
25-100 |
購物車
幫助
021-54845833/15800441009
