|
Background: |
SPCS2 (signal peptidase complex subunit 2), also known as SPC25 or microsomal signal peptidase 25 kDa subunit, is a 226 amino acid multi-pass membrane protein that localizes to both the microsome and the endoplasmic reticulum (ER), and belongs to the SPCS (signal peptidase complex subunit) family. Existing as a component of the microsomal signal peptidase complex which consists of five members, SPCS2 removes signal peptides from nascent proteins as they are translocated into the lumen of the ER. The gene encoding SPCS2 is located on human chromosome 11, which houses over 1,400 genes and comprises nearly 4% of the human genome. |
|
Applications: |
ELISA, WB, IHC |
|
Name of antibody: |
SPCS2 |
|
Immunogen: |
Fusion protein of human SPCS2 |
|
Full name: |
signal peptidase complex subunit 2 |
|
SwissProt: |
Q15005 |
|
ELISA Recommended dilution: |
5000-10000 |
|
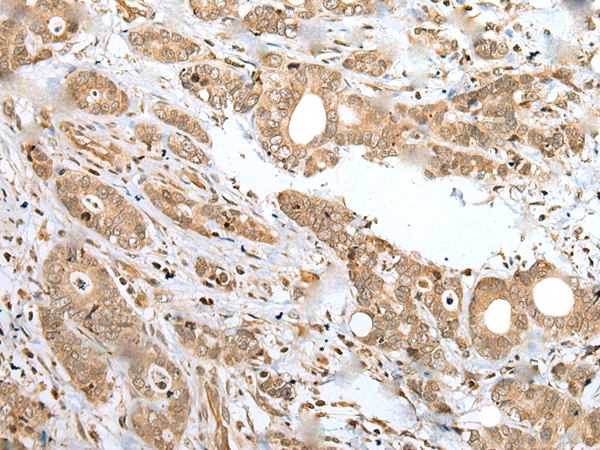
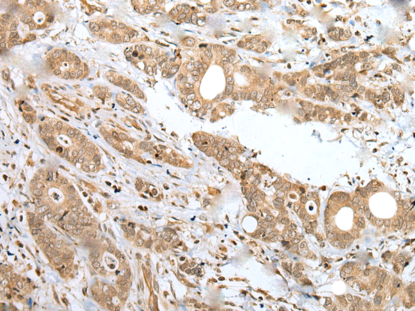
IHC positive control: |
Human gastric cancer |
|
IHC Recommend dilution: |
25-100 |
|
WB Predicted band size: |
25 kDa |
|
WB Positive control: |
Rat lung tissue,HT-29 cell,Mouse adrenal gland tissue and K-562 cell |
|
WB Recommended dilution: |
500-2000 |

購物車
幫助
021-54845833/15800441009
