|
Background: |
The gene product was initially identified as a 190-kD protein associated with the contactin-PTPRZ1 complex. The 1,384-amino acid protein, also designated p190 or CASPR for 'contactin-associated protein,' includes an extracellular domain with several putative protein-protein interaction domains, a putative transmembrane domain, and a 74-amino acid cytoplasmic domain. Northern blot analysis showed that the gene is transcribed predominantly in brain as a transcript of 6.2 kb, with weak expression in several other tissues tested. The architecture of its extracellular domain is similar to that of neurexins, and this protein may be the signaling subunit of contactin, enabling recruitment and activation of intracellular signaling pathways in neurons. |
|
Applications: |
ELISA, WB, IHC |
|
Name of antibody: |
CNTNAP1 |
|
Immunogen: |
Synthetic peptide of human CNTNAP1 |
|
Full name: |
contactin associated protein 1 |
|
Synonyms: |
P190; CASPR; NRXN4; CNTNAP |
|
SwissProt: |
P78357 |
|
ELISA Recommended dilution: |
5000-10000 |
|
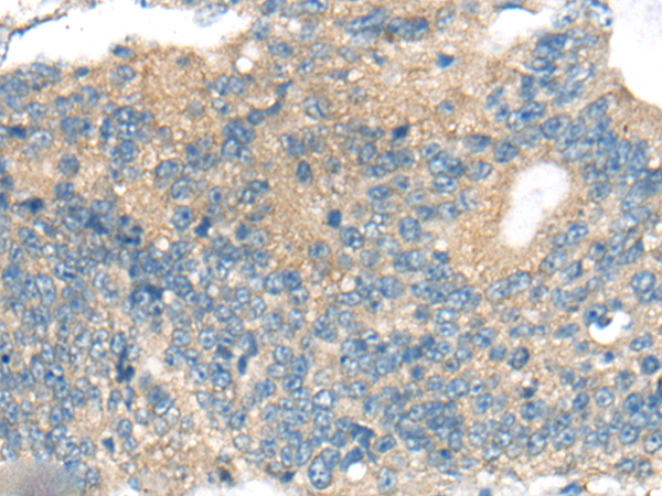
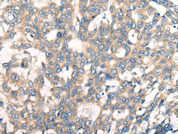
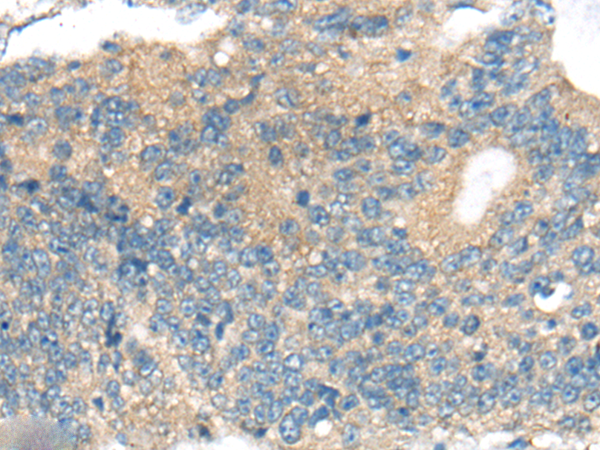
IHC positive control: |
Human colorectal cancer and human liver cancer |
|
IHC Recommend dilution: |
20-100 |
|
WB Predicted band size: |
156 kDa |
|
WB Positive control: |
A172 cell lysate |
|
WB Recommended dilution: |
200-1000 |



購物車
幫助
021-54845833/15800441009
