Background:
This gene encodes a member of the rhodopsin family of G-protein-coupled receptors. The encoded protein is almost exclusively expressed in the central nervous system. L-tryptophan and L-phenylalanine may act as the physiologic ligands of the encoded protein. Alternative splicing results in multiple transcript variants.
Applications:
ELISA, IHC
Name of antibody:
GPR139
Immunogen:
Synthetic peptide of human GPR139
Full name:
G protein-coupled receptor 139
Synonyms:
PGR3; GPRg1
SwissProt:
Q6DWJ6
ELISA Recommended dilution:
5000-10000
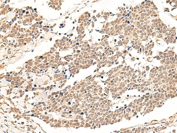
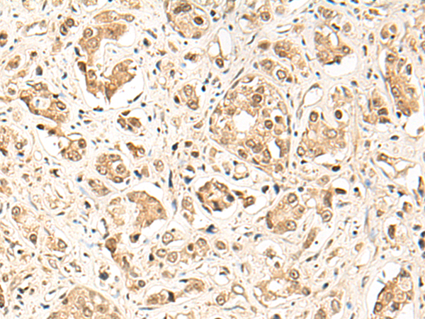
IHC positive control:
Human lung cancer and Human prostate cancer
IHC Recommend dilution:
50-300


購物車
幫助
021-54845833/15800441009
