|
Background: |
May be involved in protein transport from Golgi to cell surface. The ZDHHC9-GOLGA7 complex is a palmitoyltransferase specific for HRAS and NRAS. |
|
Applications: |
ELISA, IHC |
|
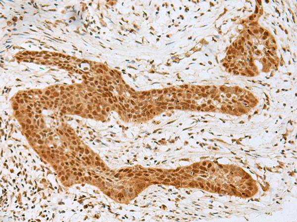
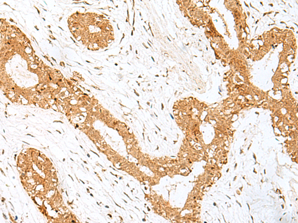
Name of antibody: |
GOLGA7 |
|
Immunogen: |
Fusion protein of human GOLGA7 |
|
Full name: |
golgin A7 |
|
Synonyms: |
GCP16; GOLGA7A; HSPC041; GOLGA3AP1 |
|
SwissProt: |
Q7Z5G4 |
|
ELISA Recommended dilution: |
5000-10000 |
|
IHC positive control: |
Human thyroid cancer |
|
IHC Recommend dilution: |
40-200 |


購物車
幫助
021-54845833/15800441009
