|
Background: |
Fusion protein of human GNA11 |
|
Applications: |
ELISA, WB, IHC |
|
Name of antibody: |
GNA11 |
|
Immunogen: |
Fusion protein of human GNA11 |
|
Full name: |
guanine nucleotide binding protein (G protein), alpha 11 (Gq class) |
|
Synonyms: |
GNA-11 |
|
SwissProt: |
P29992 |
|
ELISA Recommended dilution: |
2000-5000 |
|
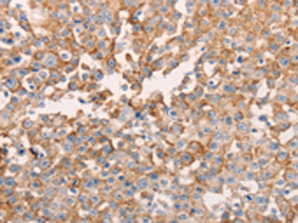
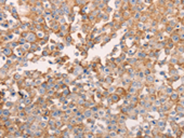
IHC positive control: |
Human breast cancer; |
|
IHC Recommend dilution: |
50-200 |
|
WB Predicted band size: |
42 kDa |
|
WB Positive control: |
Mouse eyes tissue |
|
WB Recommended dilution: |
500-2000 |

購物車
幫助
021-54845833/15800441009
