|
Background: |
FKHR belongs to the forkhead family of transcription factors, which are characterized by a distinct forkhead domain. It may play a role in myogenic growth and differentiation. The mammalian DAF-16-like transcription factors, FKHR, FKHRL1, and AFX, function as key regulators of insulin signaling, cell cycle progression, and apoptosis downstream of phosphoinositide 3-kinase. Gene activation through binding to insulin response sequences has been essential for mediating these functions. D-type Cyclins (in Class III) is required for FKHR mediated inhibition of cell cycle progression and transformation. FKHR gene is mapped to chromosome 13q14 |
|
Applications: |
WB, IHC, IF |
|
Name of antibody: |
FOXO1 (Phospho-Ser319) |
|
Immunogen: |
Synthetic peptide of human FOXO1 (Phospho-Ser319) |
|
Full name: |
forkhead box O1 (Phospho-Ser319) |
|
Synonyms: |
FKH1; FKHR; FOXO1A |
|
SwissProt: |
Q12778 |
|
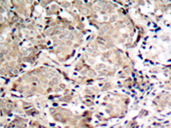
IHC positive control: |
Human breast carcinoma |
|
IHC Recommend dilution: |
50-100 |
|
WB Predicted band size: |
70 kDa |
|
WB Positive control: |
NIH/3T3 cells untreated or treated with serum starvation |
|
WB Recommended dilution: |
500-1000 |
|
IF Positive control: |
Hela cells |
|
IF Recommended dilution |
100-200 |



購物車
幫助
021-54845833/15800441009
