|
Background: |
This gene encodes a protein that binds to the tumor suppressor folliculin and to AMP-activated protein kinase (AMPK), and may play a role cellular metabolism and nutrient sensing by regulating the AMPK-mechanistic target of rapamycin signaling pathway. The encoded protein may also be involved in regulating the O6-methylguanine-induced apoptosis signaling pathway. This gene has a closely related paralog that encodes a protein with similar binding activities. Both related proteins also associate with the molecular chaperone heat shock protein-90 (Hsp90) and negatively regulate its ATPase activity and facilitate its association with folliculin. |
|
Applications: |
ELISA, IHC |
|
Name of antibody: |
FNIP2 |
|
Immunogen: |
Synthetic peptide of human FNIP2 |
|
Full name: |
folliculin interacting protein 2 |
|
Synonyms: |
FNIPL; MAPO1 |
|
SwissProt: |
Q9P278 |
|
ELISA Recommended dilution: |
5000-10000 |
|
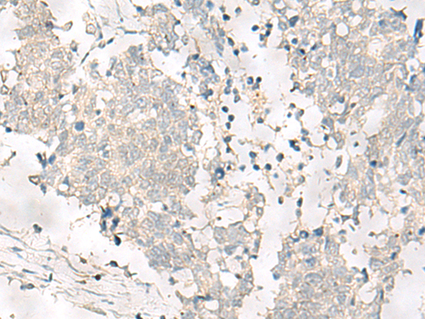
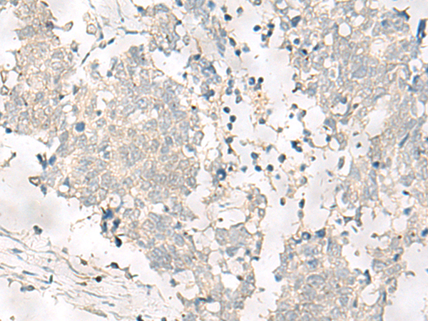
IHC positive control: |
Human lung cancer |
|
IHC Recommend dilution: |
25-100 |

購(gòu)物車
幫助
021-54845833/15800441009
