|
Background: |
This gene encodes a member of the engulfment and cell motility protein family. These proteins interact with dedicator of cytokinesis proteins to promote phagocytosis and cell migration. Increased expression of this gene and dedicator of cytokinesis 1 may promote glioma cell invasion, and single nucleotide polymorphisms in this gene may be associated with diabetic nephropathy. Alternative splicing results in multiple transcript variants. |
|
Applications: |
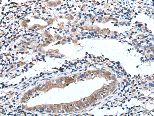
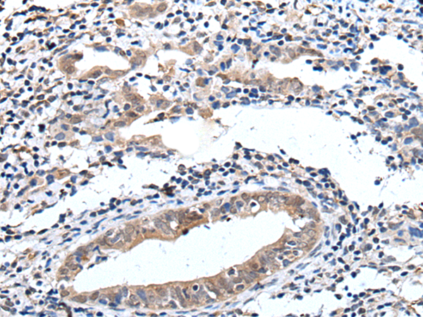
ELISA, IHC |
|
Name of antibody: |
ELMO1 |
|
Immunogen: |
Full length fusion protein |
|
Full name: |
engulfment and cell motility 1 |
|
Synonyms: |
CED12; CED-12; ELMO-1 |
|
SwissProt: |
Q92556 |
|
ELISA Recommended dilution: |
5000-10000 |
|
IHC positive control: |
Human cervical cancer |
|
IHC Recommend dilution: |
30-150 |
購物車
幫助
021-54845833/15800441009
