中文名稱:兔抗EGF多克隆抗體
|
Background: |
This gene encodes a member of the epidermal growth factor superfamily. The encoded protein is synthesized as a large precursor molecule that is proteolytically cleaved to generate the 53-amino acid epidermal growth factor peptide. This protein acts a potent mitogenic factor that plays an important role in the growth, proliferation and differentiation of numerous cell types. This protein acts by binding the high affinity cell surface receptor, epidermal growth factor receptor. Defects in this gene are the cause of hypomagnesemia type 4. Dysregulation of this gene has been associated with the growth and progression of certain cancers. Alternate splicing results in multiple transcript variants |
|
Applications: |
ELISA, WB, IHC |
|
Name of antibody: |
EGF |
|
Immunogen: |
Fusion protein of human EGF |
|
Full name: |
epidermal growth factor |
|
Synonyms: |
URG, HOMG4 |
|
SwissProt: |
P01133 |
|
ELISA Recommended dilution: |
1000-5000 |
|
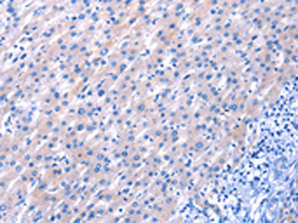
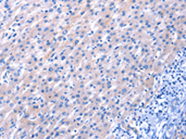
IHC positive control: |
Human liver cancer |
|
IHC Recommend dilution: |
25-100 |
|
WB Predicted band size: |
134 kDa |
|
WB Positive control: |
Mouse liver tissue |
|
WB Recommended dilution: |
500-2000 |

購物車
幫助
021-54845833/15800441009
