中文名稱: 兔抗DDHD1多克隆抗體
|
Background: |
Synthetic peptide of human DDHD1 |
|
Applications: |
ELISA, WB, IHC |
|
Name of antibody: |
DDHD1 |
|
Immunogen: |
Synthetic peptide of human DDHD1 |
|
Full name: |
DDHD domain containing 1 |
|
Synonyms: |
SPG28; PAPLA1; PA-PLA1 |
|
SwissProt: |
Q8NEL9 |
|
ELISA Recommended dilution: |
5000-10000 |
|
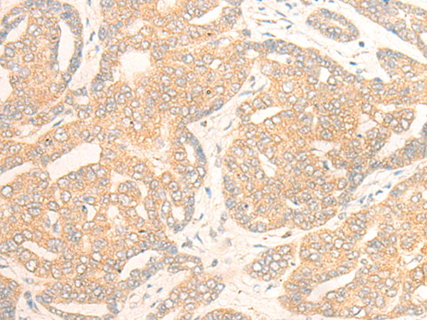
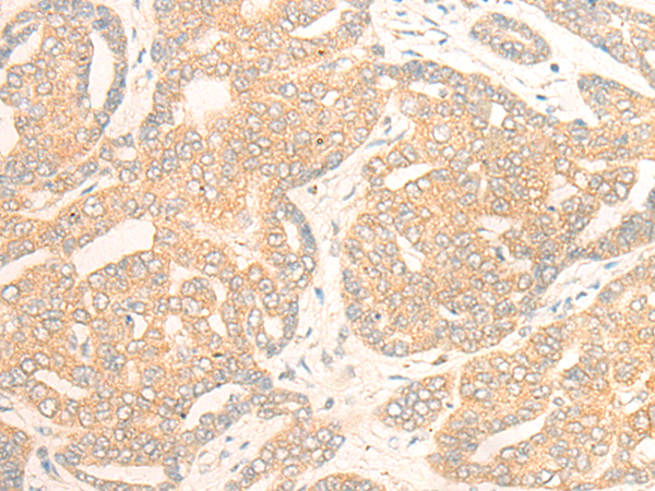
IHC positive control: |
Human liver cancer; |
|
IHC Recommend dilution: |
20-100 |
|
WB Predicted band size: |
100 kDa |
|
WB Positive control: |
Hela and Raji cell lysates |
|
WB Recommended dilution: |
200-1000 |


購物車
幫助
021-54845833/15800441009
