|
Background: |
This gene encodes a nuclear transmembrane protein that associates with cullin 4A/damaged DNA binding protein 1 ubiquitin ligase complex. Mutations in this gene are associated with Woodhouse-Sakati syndrome. Alternate splicing results in multiple transcript variants. |
|
Applications: |
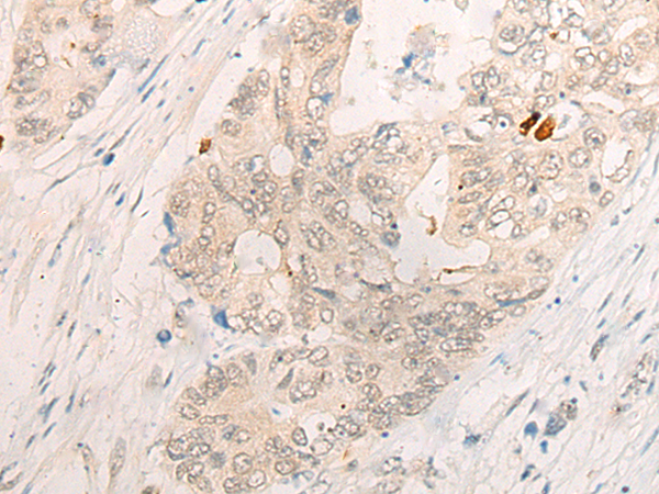
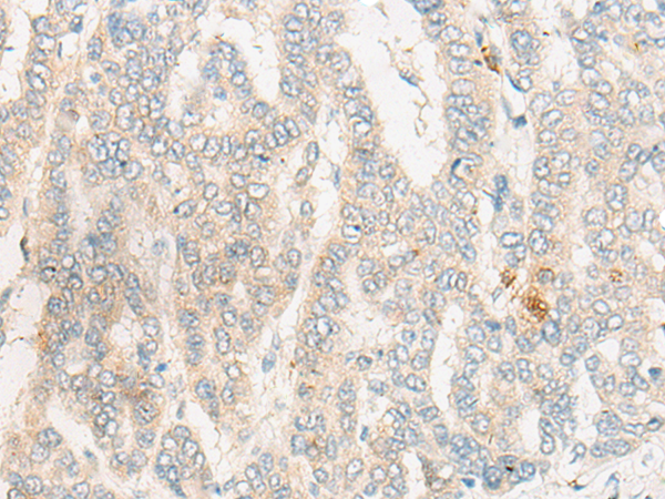
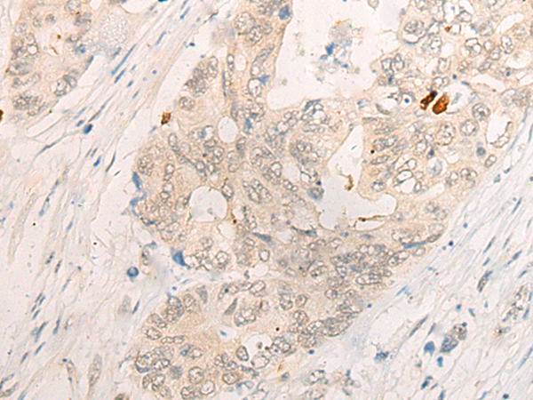
ELISA, IHC |
|
Name of antibody: |
DCAF17 |
|
Immunogen: |
Synthetic peptide of human DCAF17 |
|
Full name: |
DDB1 and CUL4 associated factor 17 |
|
Synonyms: |
C2orf37 |
|
SwissProt: |
Q5H9S7 |
|
ELISA Recommended dilution: |
5000-10000 |
|
IHC positive control: |
Human liver cancer and Human gastric cancer |
|
IHC Recommend dilution: |
20-100 |

購物車
幫助
021-54845833/15800441009
