中文名稱: 兔抗DCAF7多克隆抗體
|
Background: |
This gene encodes a protein with multiple WD40 repeats which facilitate protein-protein interactions and thereby enable the assembly of multiprotein complexes. This protein has been shown to function as a scaffold protein for protein complexes involved in kinase signaling. This highly conserved gene is present in eukaryotic plants, fungi, and animals. The ortholog of this gene was first identified in plants as a key regulator of anthocyanin biosynthesis and flower pigmentation. |
|
Applications: |
ELISA, WB, IHC |
|
Name of antibody: |
DCAF7 |
|
Immunogen: |
Fusion protein of human DCAF7 |
|
Full name: |
DDB1 and CUL4 associated factor 7 |
|
Synonyms: |
AN11; HAN11; WDR68; SWAN-1 |
|
SwissProt: |
P61962 |
|
ELISA Recommended dilution: |
2000-5000 |
|
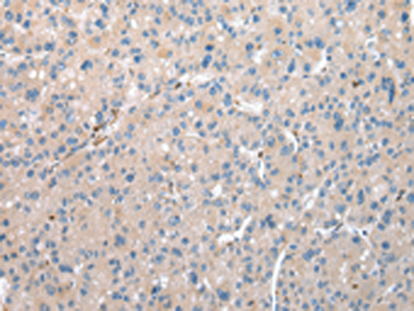
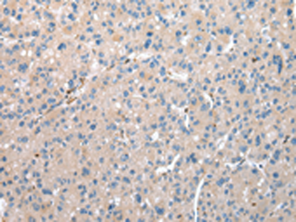
IHC positive control: |
Human liver cancer and Human prostate cancer |
|
IHC Recommend dilution: |
25-100 |
|
WB Predicted band size: |
39 kDa |
|
WB Positive control: |
Human fetal brain tissue |
|
WB Recommended dilution: |
500-2000 |

購物車
幫助
021-54845833/15800441009
