|
Background: |
This gene encodes a member of the cytochrome P450 superfamily of enzymes. The cytochrome P450 proteins are monooxygenases which catalyze many reactions involved in drug metabolism and synthesis of cholesterol, steroids and other lipids. This endoplasmic reticulum membrane protein catalyzes the first reaction in the cholesterol catabolic pathway of extrahepatic tissues, which converts cholesterol to bile acids. This enzyme likely plays a minor role in total bile acid synthesis, but may also be involved in the development of atherosclerosis, neurosteroid metabolism and sex hormone synthesis. Mutations in this gene have been associated with hereditary spastic paraplegia (SPG5 or HSP), an autosomal recessive disorder. |
|
Applications: |
ELISA, IHC |
|
Name of antibody: |
CYP7B1 |
|
Immunogen: |
Synthetic peptide of human CYP7B1 |
|
Full name: |
cytochrome P450 family 7 subfamily B member 1 |
|
Synonyms: |
CP7B; CBAS3; SPG5A |
|
SwissProt: |
O75881 |
|
ELISA Recommended dilution: |
5000-10000 |
|
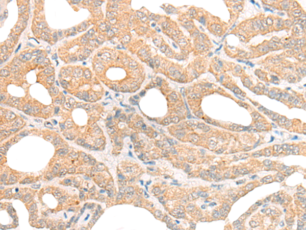
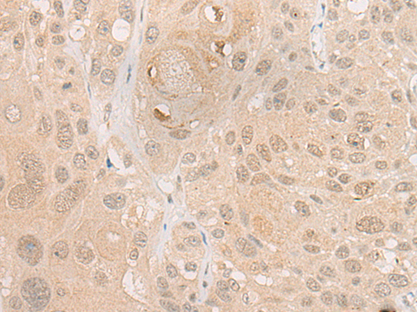
IHC positive control: |
Human liver cancer and Human esophagus cancer |
|
IHC Recommend dilution: |
25-100 |



購(gòu)物車(chē)
幫助
021-54845833/15800441009
