中文名稱: 兔抗GHDC多克隆抗體
英文名稱: Anti-GHDC rabbit polyclonal antibody
|
Background: |
GHDC, also known as LGP1, is a GH3 domain-containing protein that is highly expressed in normal mammary tissues and mammary tumors. GHDC is primarily located in the nuclear envelope. In mouse, its gene is located on chromosome 11 adjacent to the STAT3/5 locus. Little is known of the function of this protein. |
|
Applications: |
ELISA, IHC |
|
Name of antibody: |
GHDC |
|
Immunogen: |
Synthetic peptide of human GHDC |
|
Full name: |
GH3 domain containing |
|
Synonyms: |
LGP1; D11LGP1 |
|
SwissProt: |
Q8N2G8 |
|
ELISA Recommended dilution: |
5000-10000 |
|
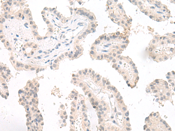
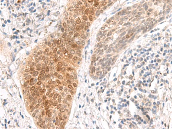
IHC positive control: |
Human esophagus cancer and Human thyroid cancer |
|
IHC Recommend dilution: |
50-300 |


購(gòu)物車
幫助
021-54845833/15800441009
