|
Background: |
This gene encodes a component of the heteromeric ESCRT-III complex (Endosomal Sorting Complex Required for Transport III) that functions in the recycling or degradation of cell surface receptors. ESCRT-III functions in the concentration and invagination of ubiquitinated endosomal cargos into intralumenal vesicles. The protein encoded by this gene is found as a monomer in the cytosol or as an oligomer in ESCRT-III complexes on endosomal membranes. It is expressed in neurons of all major regions of the brain. Mutations in this gene result in one form of familial frontotemporal lobar degeneration. |
|
Applications: |
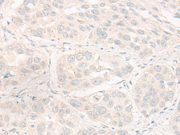
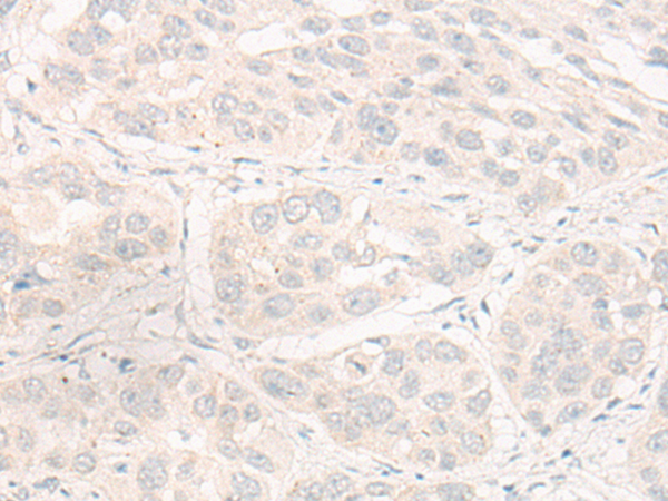
ELISA, IHC |
|
Name of antibody: |
CHMP2B |
|
Immunogen: |
Fusion protein corresponding to a region derived from 94-213 amino acids of human CHMP2B |
|
Full name: |
charged multivesicular body protein 2B |
|
Synonyms: |
DMT1; ALS17; VPS2B; VPS2-2; CHMP2.5 |
|
SwissProt: |
Q9UQN3 |
|
ELISA Recommended dilution: |
5000-10000 |
|
IHC Positive control: |
Human brain;Human esophagus cancer |
|
IHC Recommended dilution: |
20-100 |

購物車
幫助
021-54845833/15800441009
