相關類別: 一抗
|
Background: |
This gene encodes a member of the F-box protein family which is characterized by an approximately 40 amino acid motif, the F-box. The F-box proteins constitute one of the four subunits of ubiquitin protein ligase complex called SCFs (SKP1-cullin-F-box), which function in phosphorylation-dependent ubiquitination. The F-box proteins are divided into 3 classes: Fbws containing WD-40 domains, Fbls containing leucine-rich repeats, and Fbxs containing either different protein-protein interaction modules or no recognizable motifs. The protein encoded by this gene belongs to the Fbls class and, in addition to an F-box, contains at least six highly degenerated leucine-rich repeats. This family member plays a role in epigenetic silencing. It nucleates at CpG islands and specifically demethylates both mono- and di-methylated lysine-36 of histone H3. Alternative splicing results in multiple transcript variants. |
|
Applications: |
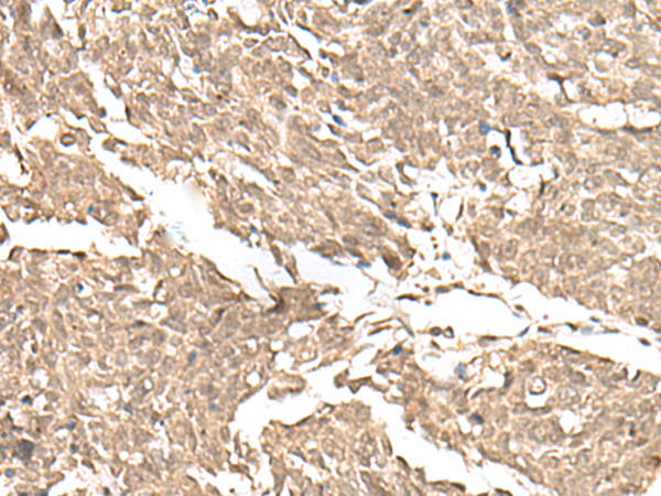
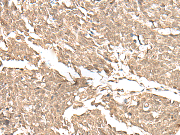
ELISA, IHC |
|
Name of antibody: |
KDM2A |
|
Immunogen: |
Synthetic peptide of human KDM2A |
|
Full name: |
lysine demethylase 2A |
|
Synonyms: |
FBL7; CXXC8; FBL11; FBXL11; JHDM1A; LILINA |
|
SwissProt: |
Q9Y2K7 |
|
ELISA Recommended dilution: |
5000-10000 |
|
IHC positive control: |
Human lung cancer and Human esophagus cancer |
|
IHC Recommend dilution: |
50-300 |


購物車
幫助
021-54845833/15800441009
